Jamie

Age:

D.O.B: 03/02/2024

Sex:

Male

Size:

Will be small sized – 6kgs

Neutered:

Not yet, too young

Passport and vaccinations:

Yes

Location:

UK Foster

Description:

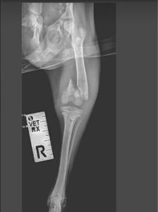
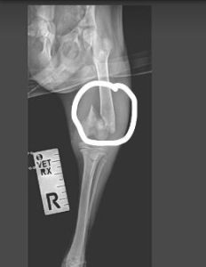
Jamie and his two siblings were found abandoned in a derelict school house. Desperation was etched on their sweet faces and their bodies were full of fleas and their skin covered in demodex. Jamie was found to be less active than his siblings and after x-rays was found to have a fractured femur. He has now had an operation and is recovering from his ordeal alongside his brothers

Jamie is a typical sweet and lively puppy and his new family will need to have the time to dedicate to caring for a growing puppy, supporting him with development and training.  If you think you can meet Jamie’s needs please fill out a registration form and one of our rehoming team will be in touch.

Thank you for your interest in Jamie. If you would like to apply to adopt one of our dogs, please read the ‘How do I Adopt’ pages, where you can find more information about the process and the costs involved.
As you can imagine, each one of our dogs is very precious to us, they haven’t had the best start in life and therefore it is absolutely crucial we find the right homes for them. When you complete a registration form, please tell us as much as you can about why you are looking to adopt a dog and how you think you can meet their needs. Every dog is an individual and our amazing rehoming team will know exactly what type of home each dog needs to thrive. For example, will the dog cope with a small garden or is it the type of dog who needs to live in a rural environment? Will the dog enjoy being around children, or is it best suited to an adult only home? Will it cope sharing a home with other pets, or is it best as an only dog? Are you outdoorsy types who like to go hiking, or would you prefer a dog who is happy to snuggle up on the sofa with you? Our rehoming team will be very familiar with the needs of each of our dogs and the information you provide on your application form will help them to match you with the right dog.

We’d love to chat…

If you’ve got any questions or would like to learn more about 1 Dog At A Time Rescue, feel free to get in touch.

Opt In

1 + 15 =

Pin It on Pinterest